treatment
診療内容
当医院では、一般歯科、小児歯科、矯正歯科、口腔外科、インプラントの治療を行っています。
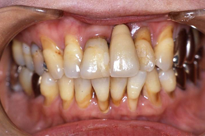
むし歯の治療例
神経まで及んだ虫歯は、歯の根の治療をできるだけ丁寧に行います。
初診時:歯の根の病気で黒くなっています。
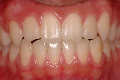
6年後:根の周りの黒いところは白くなり、完治済です。
初診時
6年後
6年後拡大
入れ歯の治療例
当院では、患者様が少ないご負担で安心して食事ができるよう、保健治療で入れ歯をお作りしています。同じ入れ歯を10年20年使っていただいている患者様も多くいらっしゃいます。
装着前
装着後
16年間使っている義歯
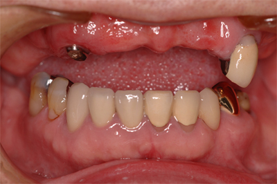
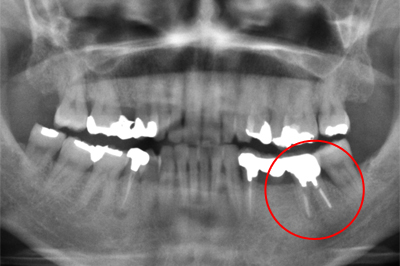
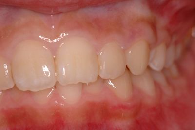
インプラント施術例
歯を削りたくない、入れ歯をどうしても入れたくないという時、インプラント治療を行っています。
施術前
施術後
レントゲン
小児歯科
子どもの虫歯予防、虫歯の治療、矯正治療を行っています。
虫歯治療例
虫歯
虫歯を詰めた後
虫歯
虫歯を詰めた後
矯正治療例
施術前
施術中
施術後

